全球日增确诊超46万
导语
胸腔积液、胸痛发烧,大概率会先想到感染、结核甚至肿瘤?最近《CHEST》期刊(2025年第168 卷第5期)报道了一则颠覆认知的病例:一名46岁女性的胸腔里,竟然长了本该属于输卵管的组织!这种名为 “胸膜输卵管异位症” 的疾病,是全球首次被发现的全新病症。今天就带大家拆解这个罕见病例,看看医学诊断如何突破常规思维。
一、离奇病情:常规治疗无效的 “普通” 胸痛
故事的主人公是一位46岁的厄瓜多尔新移民女性,此前没有任何已知病史。她因突发右侧胸膜炎性胸痛、发烧2天就医,检查发现白细胞计数高达 19.87×103/μL,明显提示体内存在炎症。
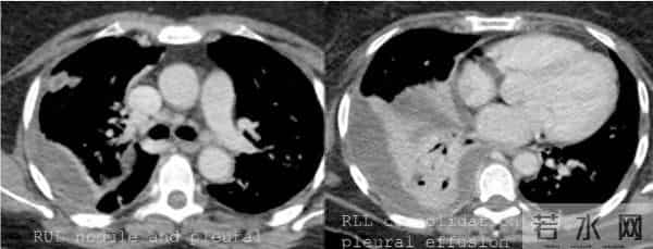
胸部CT血管造影显示:双侧肺实质内有不规则结节,右侧有中等量复杂性胸腔积液,还伴随肺不张,但没有肺栓塞的迹象。床边超声进一步确认,右侧胸腔里的积液已经形成了分隔的包裹性积液。


图1 CT显示右侧复杂性胸腔积液伴有肺部结节
按照常规诊疗思路,医生先给予了广谱抗生素(头孢吡肟 + 万古霉素)经验性治疗。住院期间,患者的血培养检出了耐甲氧西林金黄色葡萄球菌(MRSA),这让 “感染性疾病” 的诊断似乎有了依据。
但诡异的是,后续的胸腔穿刺只抽出了 60 毫升血性浆液,积液检查结果却让诊断陷入僵局:
胸腔积液以淋巴细胞为主(占94%),符合渗出液标准(乳酸脱氢酶 183U/L、白蛋白2.3g/dL、蛋白5.3g/dL);
细菌涂片和培养均为阴性,真菌、结核相关检查(包括结核菌素干扰素释放试验呈不确定结果)也全部阴性;
肿瘤相关检查因积液量过少未做,但临床恶性怀疑度较低。
明明血培养查出了致病菌,胸腔积液却没有感染证据,抗生素治疗后病情也未完全缓解。更关键的是,患者来自结核高发地区,虽然腺苷脱氨酶水平不高,但也无法彻底排除结核可能。这个 “矛盾” 的病例,迫使医生必须寻找其他答案。
二、真相大白:胸腔里的 “异位输卵管组织”
为了明确诊断,医生为患者实施了内科胸腔镜检查。镜下发现,患者的胸膜处于炎症状态,还布满了弥漫性的结节状病变。医生从多个部位取了胸膜组织进行活检,病理结果最终揭开了谜底——这些结节竟然是腺上皮组织!
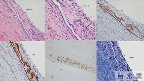
进一步的免疫组化染色给出了关键证据:细胞角蛋白 7(CK7)、配对盒基因 8(PAX8)、威尔姆斯瘤基因 1(WT1)均为阳性;钙视网膜蛋白(calretinin)为阴性。

图2-A-F,常规及高倍放大下的H&E染色显微照片,显示CK7、PAX8、钙网蛋白和WT1。A,H&E染色(放大倍数10×20)显示腺上皮细胞。B,H&E染色(放大倍数10×40)显示腺上皮细胞。C,CK7阳性染色(放大倍数10×20)。D,PAX8阳性染色(放大倍数10×20)。E,WT1阳性染色(放大倍数10×20)。F,钙网蛋白阴性染色(放大倍数10×20)。CK7=细胞角蛋白7;H&E=苏木精-伊红染色;PAX8=配对框8;WT1=Wilms瘤-1。
这组特征性染色结果,直接指向了一个罕见疾病:输卵管异位症(Endosalpingiosis)。简单说,就是本该长在盆腔输卵管里的组织,竟然 “跑” 到了胸腔的胸膜上,还引发了炎症和胸腔积液。
更值得关注的是,在住院期间的复查中,患者的肺结节逐渐好转,胸腔积液也仅有少量复发,这提示肺结节可能确实由感染引起,但胸腔积液的 “元凶” 却是这个异位的输卵管组织。3 个月后,患者复查胸部CT,胸腔积液和肺结节已完全消失(图3),无需进一步治疗,只需定期随访即可。
图3 3个月后肺部病灶完全消失
三、什么是 “输卵管异位症”?为何会出现在胸腔?
输卵管异位症是一种罕见的良性病变,核心特征是在输卵管以外的部位出现了类似输卵管的异位组织。在此之前,医学文献记载的病例中,这种异位组织主要出现在卵巢、腹膜或盆腔外的少数部位(如腰椎神经根、阑尾、腋窝淋巴结),累及胸膜的情况从未被报道过。
关于它的成因,目前医学界尚无定论,主流假说包括:
盆腔腹膜间皮细胞的苗勒管化生;
体腔上皮细胞化生;
血行或淋巴转移;
输卵管上皮的种植或直接蔓延。
这次发现的胸膜输卵管异位症,可能与后纵隔苗勒管囊肿(Hattori 囊肿)属于同一类胚胎发育相关病变,本质是胚胎时期的苗勒管组织 “错位” 到了胸腔,属于发育性的输卵管异位症。
需要特别区分的是,输卵管异位症和大家熟知的 “子宫内膜异位症” 不同:前者是输卵管上皮的异位,后者是子宫内膜组织的异位,免疫组化中子宫内膜间质标志物(如 CD10)阴性,也印证了这一点。
四、医学启示:这个病例改写了什么?
这个全球首例的病例,不仅为医学增添了新的疾病类型,更给临床诊疗带来了重要启示:
1. 拓宽胸腔积液的鉴别诊断思路
以淋巴细胞为主的渗出性胸腔积液,以往优先考虑结核、肿瘤,其次是乳糜胸、结节病、类风湿胸膜炎等。现在,“胸膜输卵管异位症” 需要被纳入鉴别清单,尤其是在常规检查无法明确病因时。
2. 病理检查是确诊的 “金标准”
输卵管异位症没有特征性的影像学表现,CT、超声只能发现胸膜病变或积液,无法区分性质。最终确诊必须依靠胸膜活检 + 免疫组化,PAX8 和 WT1 阳性、calretinin 阴性是关键标志物组合。
3. 治疗与随访需个体化
目前输卵管异位症的药物治疗(如口服避孕药、促性腺激素释放激素类似物)效果不一,且存在恶性转化风险,还可能与卵巢交界性浆液性肿瘤相关。本例患者因病变完全消退,仅需定期通过影像学随访;但对于症状持续或反复的患者,可能需要更积极的治疗和长期监测。
五、结语
医学的进步,往往始于一个个 “例外” 的病例。从最初的 “常规感染” 怀疑,到最终确诊 “全球首例胸膜输卵管异位症”,这个案例告诉我们:在临床诊疗中,当常规思路走不通时,不妨打破边界——毕竟,人体的复杂性,永远超出我们的想象。
对于患者而言,这也提醒我们:不明原因的胸痛、胸腔积液,若经过常规治疗无效,一定要及时告知医生,配合进一步检查,切勿忽视那些 “罕见病” 的可能。
未来,随着更多病例的积累,我们或许能更清楚地了解这种疾病的自然病程、最佳治疗方案和长期预后。而这个 46 岁女性的病例,将成为医学史上关于 “胸膜输卵管异位症” 的首个里程碑。
本文标题:全球日增确诊超46万
本文链接:http://www.hniuzsjy.cn/xinxi/92223.html
声明:本站所有文章资源内容,如无特殊说明或标注,均为采集网络资源。如若本站内容侵犯了原著者的合法权益,可联系本站删除。
